専門医療センター内視鏡センター
消化器内科のほぼ全ての領域をカバーできる、
確かな技術と設備の内視鏡センター
センターの特色
内視鏡検査
上部内視鏡検査(胃カメラ)・・・ 経鼻式内視鏡も保有
下部内視鏡検査(大腸ファイバー)
カプセル内視鏡検査・・・主として小腸の検査。大腸も可能
ERCP・・・総肝胆結石や胆管腫瘍に対しての精査・処置
内視鏡検査は、上部内視鏡検査(胃カメラ)を月曜から土曜までの毎日、下部内視鏡検査(大腸ファイバー)を週3日実施しています。その他の検査についてもほとんど院内で実施できる体制を整え、患者様を検査予約で長期間お待たせしない、スムーズな診療を可能にしています。

当院の消化器内科では、炎症や潰瘍といった胃や大腸の疾患はもちろん、肝臓、胆嚢、膵臓などを含めた、ほぼ全ての領域で専門的な診療を実施しており、検査体制も充実したものになっています。また、各種検診や健康診断、人間ドックの内視鏡検査も積極的に行っています。

内視鏡検査ブース

リカバリー室
早期胃がんなどの消化管腫瘍の内視鏡切除(EMR/ESD)は、盛んに施行しています。総胆管結石を摘除する内視鏡的乳頭切除術(EST)や内視鏡的乳頭ラージバルーン拡張術(EPLDB)、経皮的胃瘻造設術(PEG)、食道静脈瘤結紮療法(EVL)なども行っています。
緊急性を要する吐血・下血においては、その診断と治療(内視鏡による止血)を担っています。

ESD
胃前庭部の半周程度を占める大きな拡がりの早期胃癌に対して行った、内視鏡的粘膜下層剥離術

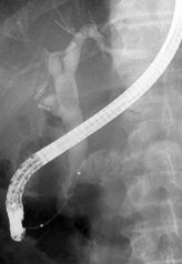
EPLBD
大きな総胆管結石を摘除するために行う、内視鏡的乳頭ラージバルーン拡張術
施設認定
日本がん治療認定医機構認定研修施設